
“تصرفاته الغريبة كشفت ورمًا!”
“قلة أدبه أنقذت حياته”
أحمد، ١٢ سنة، جاء إلى العيادة بصحبة أهله.
من أول لحظة، لاحظت أن سلوكهم كان متوترًا أكثر من أي شيء عند الولد نفسه.
بصوت مليء بالغضب، قال الأب:
“الولد مدلل… بيشتكي من صداع ومفيش عنده حاجة!”
سكتُّ لبعض الوقت وبدأت فحص أحمد.
هو طفل طبيعي جدًا، لكن صمته لفت انتباهي.
العلامات الحيوية كانت طبيعية، ولم يكن هناك أي شكوى طبية مهمة، سوى أن الولد يبدو متعرضًا لتعامل صارم.
ثم حدث شيء غيّر مجرى القصة تمامًا:
أثناء حديثي معه، لاحظت فجأة أنه يسرح… كأن الزمن توقف.
أمه قالت:
“بيحصل له كده كل شوية، يسرح دقيقة أو دقيقتين، وكأنه مش سامعنا.”
هنا شعرت بشيء غريب… وكأن الكهرباء ضربت عقلي وأدركت الأمر.
سألتهم السؤال الحاسم:
“الولد ده بيشتم؟ بيضربكم فجأة؟”
أجاب الأب بغضب:
“أيوه يا دكتور! بيشتمنا بأبشع الألفاظ، وبيقوم يضرب ويخربش من غير سبب… مهما عاقبناه، برضه قليل الأدب!”
هنا فهمت الحقيقة: لم يكن أحمد قليل الأدب، بل كان يصرخ بطريقة مختلفة.
سرحانه وكلامه العدواني لم يكن إلا أعراضًا لمشكلة في الدماغ:
- نوبات صرع من نوع نادر تُسمى absence seizures.
- الشتائم والضرب المفاجئ كانت نتيجة خلل في الفص الجبهي للقشرة الدماغية ووظائف المخ العليا.
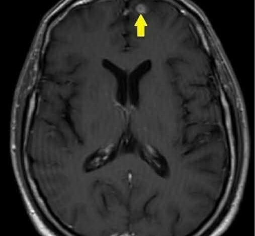
طلبت فحص قاع العين، الذي كشف عن ارتفاع ضغط السائل الدماغي، وتبعته أشعة أظهرت ورمًا صغيرًا في المخ.
الورم كان يؤثر على كهرباء دماغه، ويشوه ردود أفعاله وسلوكه… وحياته كلها.
الحمد لله، تمكنا من اكتشاف المشكلة مبكرًا، وبدأ العلاج قبل أن تحدث أي كارثة.
الدرس هنا:
مش كل طفل يبدو قليل الأدب يستحق العقاب… أحيانًا تصرفاته هي استغاثة تحتاج لمن يسمعها ويفهمها.
خذ خطوة إلى الوراء، امنحه حقه، قبل أن تحكم عليه أو تأخذ حقك منه.





