
“عقل بلا مخيخ: المعجزة العصبية التي حيّرت علماء الدماغ”
في عام 2016، نُشرت في مجلة Neuropsychologia دراسة حالة استثنائية عن امرأة في منتصف العشرينات لجأت إلى الأطباء بسبب دوخة خفيفة.
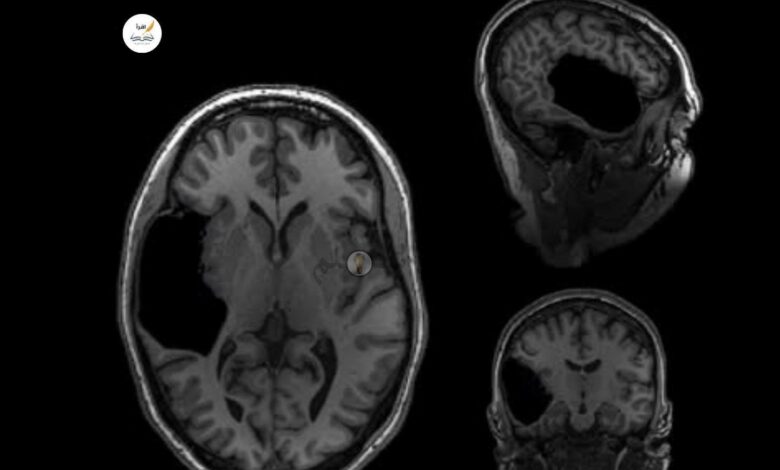
بعد خضوعها لفحص الرنين المغناطيسي، اكتشف الأطباء أنها ولدت دون مخيخ بالكامل — وهو الجزء الخلفي من الدماغ المسؤول عن التوازن، التحكم الحركي، وبعض الوظائف الإدراكية.
المذهل أنها عاشت طوال حياتها دون أن تدري بوجود هذا النقص التشريحي النادر.
ورغم أنها واجهت بعض التأخيرات الطفيفة في الطفولة مثل المشي والكلام، فإنها لحقت بسرعة بأقرانها، وعاشت حياة طبيعية تقريبًا.
تُعرف هذه الحالة باسم غياب المخيخ الخلقي (Cerebellar Agenesis)، ولم يُسجَّل منها سوى تسع حالات حيّة فقط حول العالم.
أظهرت الفحوص أن دماغها أعاد تنظيم نفسه لتعويض غياب هذا الجزء الحيوي، إذ تولّت مناطق أخرى أداء بعض وظائف المخيخ من خلال ما يُعرف بـ المرونة العصبية (Neuroplasticity) — وهي قدرة الدماغ المذهلة على التكيّف وإعادة توزيع المهام العصبية.
المثير أن قدراتها العقلية والنطقية والمعرفية كانت شبه طبيعية، مما يؤكد أن الدماغ الإنساني يمتلك قدرة غير عادية على التعويض وإعادة البناء.
وقد ساهمت هذه الحالة في توسيع فهم العلماء لكيفية تطور الدماغ، خاصة خلال مرحلة الطفولة المبكرة حين تكون الشبكات العصبية في أوج تكوينها.





